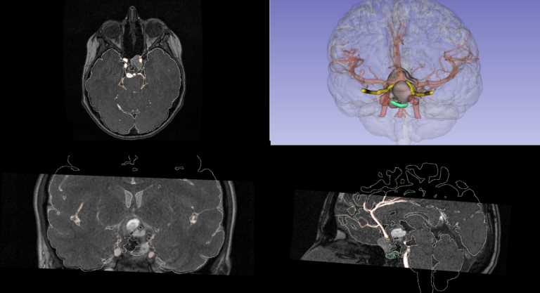
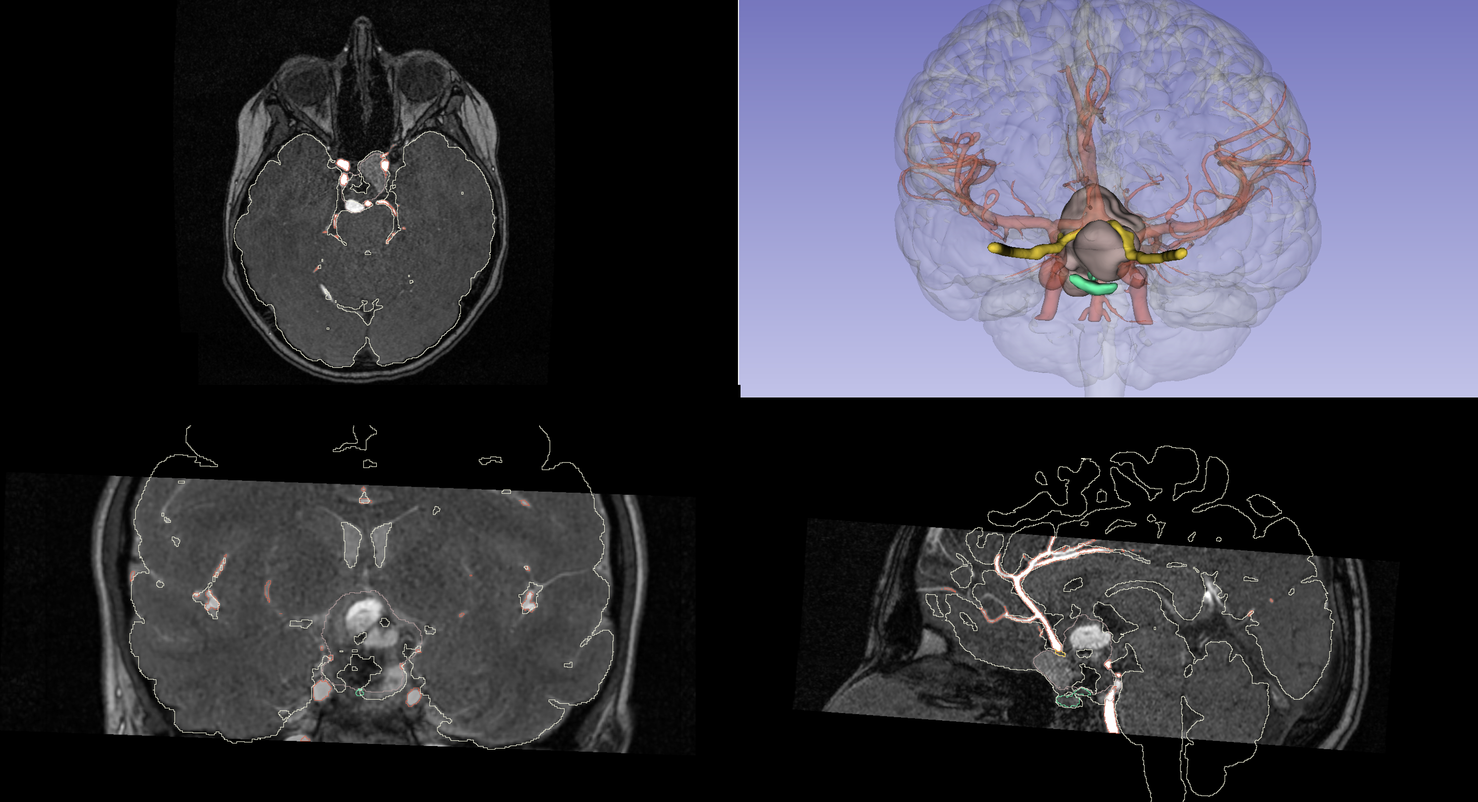
We are pleased to share a new scientific contribution that explores a multidisciplinary and technologically advanced approach to the treatment of pediatric craniopharyngioma—a rare benign tumor of the hypothalamic–pituitary region, often associated with high morbidity. This work stems from the long-standing collaboration between PRINTMED 3D and the “Vittore Buzzi” Children’s Hospital in Milan, and stands as a concrete example of how synergy between clinical practice and research can generate effective, personalized solutions for pediatric neurosurgery.
https://onlinelibrary.wiley.com/doi/full/10.1002/ccr3.70948



