Integrated platform for three-dimensional medical technologies
A revolutionary method
PRINTMED-3d aims to create an infrastructure for the development of enabling solutions for personalised medicine and specialist training, through the combined use of virtual reality and functional additive printing technologies.
People
PRINTMED-3D is made up of people with complementary skills: researchers, clinicians, entrepreneurs, technologists, and managers. each is indispensable and complementary to the achievement of the project’s objectives.
Paolo Milani
Gian Vincenzo Zuccotti
Alessandro Rotilio
Maurizio Vertemati
News & Press

A Rare Tumor, an Innovative Solution: The Power of Virtual Reality and 3D Printing
We are pleased to share a new scientific contribution that explores a multidisciplinary and technologically advanced approach to the treatment of pediatric craniopharyngioma—a rare benign
ESPU 2025 Award: the collaboration between Printmed-3D and Buzzi Children’s Hospital proves once again to be a winning partnership
We are pleased to announce that at the 35th Congress of the European Society for Pediatric Urology, held in Vienna from September 3-6, 2025 (https://jointmeeting2025.espu.org),

Virtual reality and ICG revolutionize pediatric neuroblastoma surgery, according to a new study from Printmed-3D and Buzzi Hospital.
We are pleased to announce the online publication in European Journal of Pediatric Surgery Reports of a new study resulting from a collaboration between Printmed

A Rare Tumor, an Innovative Solution: The Power of Virtual Reality and 3D Printing
We are pleased to share a new scientific contribution that explores a multidisciplinary and technologically advanced approach to the treatment of pediatric craniopharyngioma—a rare benign
ESPU 2025 Award: the collaboration between Printmed-3D and Buzzi Children’s Hospital proves once again to be a winning partnership
We are pleased to announce that at the 35th Congress of the European Society for Pediatric Urology, held in Vienna from September 3-6, 2025 (https://jointmeeting2025.espu.org),

Virtual reality and ICG revolutionize pediatric neuroblastoma surgery, according to a new study from Printmed-3D and Buzzi Hospital.
We are pleased to announce the online publication in European Journal of Pediatric Surgery Reports of a new study resulting from a collaboration between Printmed

3D Printing of Organs and Tissues: Medicine is Personalized
Virtual Reality, 3D printing of tissues and organs, and intelligent fluidics allow doctors to practice on models with characteristics identical to real ones, improving diagnosis,

Virtual reality, 3D printing and health for increasingly personalised medicine
Imagine that you know a person with a disease of the liver or another organ. Imagine that there is the possibility of creating in the

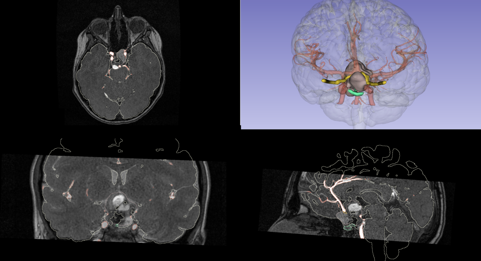
3D Haptic Model of the Human Brain: To achieve a tactile response that simulates human tissue, a 3D mold and silicone gel were used.
3D Haptic Model of the Human Brain: To create a faithful reproduction, also from a tactile perspective, that mimics the organoleptic characteristics of brain tissue,

3D Printing of Organs and Tissues: Medicine is Personalized
Virtual Reality, 3D printing of tissues and organs, and intelligent fluidics allow doctors to practice on models with characteristics identical to real ones, improving diagnosis,

Virtual reality, 3D printing and health for increasingly personalised medicine
Imagine that you know a person with a disease of the liver or another organ. Imagine that there is the possibility of creating in the

3D Haptic Model of the Human Brain: To achieve a tactile response that simulates human tissue, a 3D mold and silicone gel were used.
3D Haptic Model of the Human Brain: To create a faithful reproduction, also from a tactile perspective, that mimics the organoleptic characteristics of brain tissue,
Partners
University of Milan is the lead partner of PRINTMED-3D and participates in the project through the “Aldo Pontremoli” Department of Physics and the Interdisciplinary Centre for Nanostructured Materials and Interfaces (C.I.M.a.I.N.a.) for the development of 3d printing processes and microfabrications, material libraries and production of fluidic systems. Also participating are the “L. Sacco” Department of Biomedical and Clinical Sciences, the Niguarda Hospital, through the SC Radiology, the Department of Oncology and Onco-Hematology and the Department of Orthodontics and Maxillofacial Surgery at the Policlinico, for clinical, preclinical and diagnostic applications, functional validation of 3d artefacts and virtual reality.
IRCCS “Carlo Besta” Neurological Institute Foundation participates through the department of neurosurgery and the besta neurosim center (bnsc). bnsc is the first neurosurgical simulation and training centre in europe equipped with state-of-the-art neurosurgical simulators. bnsc proposes a revolutionary training method for the next generations of neurosurgeons. PRINTMED-3D Activities: clinical and diagnostic applications and validation of 3d artefacts and virtual reality.
Dolphin Fluidics develops, manufactures and markets intelligent fluidics devices. thanks to the integration of precision fluidics, smart actuators and control and communication electronics, dolphin fluidics products control fluids and air, in both on-off and proportional regulation, for the medical, professional food and beverage, and industrial sectors. Activities in PRINTMED-3D: integration of fluidic systems in 3d artefacts.










